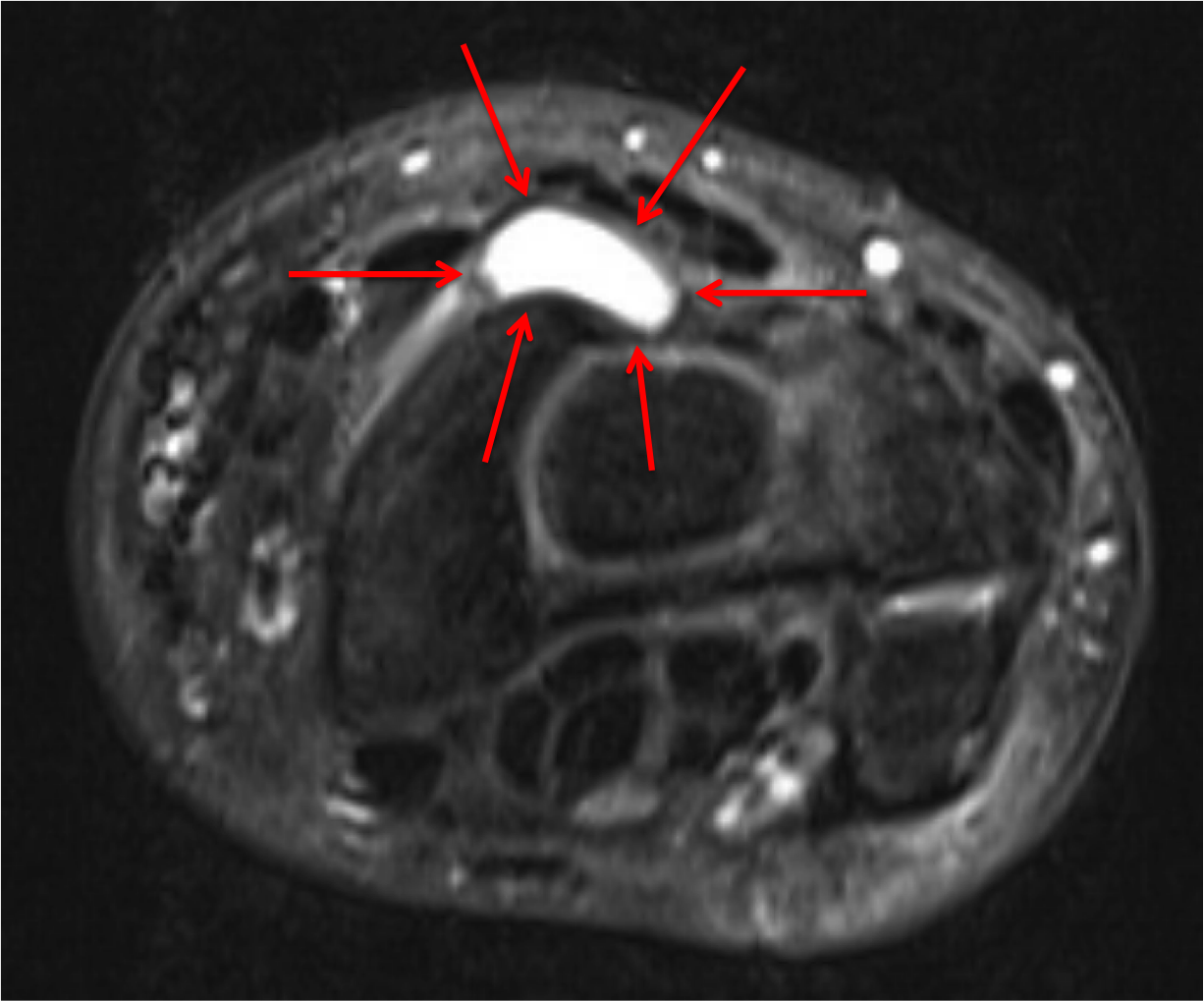
Finger Joint Ganglion Cyst . a ganglion cyst is a small sac of fluid that forms over a joint or tendon (tissue that connects muscle to bone). ganglion cysts that develop at the end joint on the nail side of a finger — also known as mucous cysts — are typically associated. a ganglion cyst starts when the fluid leaks out of a joint or tendon tunnel and forms a swelling beneath the skin. ganglion cysts are often painless and need no treatment. ganglion cysts of the hand and other joints are more likely to affect women than men, and more likely to appear in patients. Inside the cyst is a thick, sticky,. Your health care provider might recommend watching.
from www.johnericksonmd.com
Your health care provider might recommend watching. a ganglion cyst is a small sac of fluid that forms over a joint or tendon (tissue that connects muscle to bone). ganglion cysts that develop at the end joint on the nail side of a finger — also known as mucous cysts — are typically associated. ganglion cysts are often painless and need no treatment. ganglion cysts of the hand and other joints are more likely to affect women than men, and more likely to appear in patients. Inside the cyst is a thick, sticky,. a ganglion cyst starts when the fluid leaks out of a joint or tendon tunnel and forms a swelling beneath the skin.
Photos of Mucous Cysts in Fingers John Erickson, MD
Finger Joint Ganglion Cyst ganglion cysts of the hand and other joints are more likely to affect women than men, and more likely to appear in patients. ganglion cysts of the hand and other joints are more likely to affect women than men, and more likely to appear in patients. Inside the cyst is a thick, sticky,. a ganglion cyst is a small sac of fluid that forms over a joint or tendon (tissue that connects muscle to bone). Your health care provider might recommend watching. ganglion cysts that develop at the end joint on the nail side of a finger — also known as mucous cysts — are typically associated. a ganglion cyst starts when the fluid leaks out of a joint or tendon tunnel and forms a swelling beneath the skin. ganglion cysts are often painless and need no treatment.
From sonjacerovac.com
Finger Ganglion Mucous cyst dr Sonja Cerovac Finger Joint Ganglion Cyst Your health care provider might recommend watching. ganglion cysts that develop at the end joint on the nail side of a finger — also known as mucous cysts — are typically associated. ganglion cysts of the hand and other joints are more likely to affect women than men, and more likely to appear in patients. Inside the cyst. Finger Joint Ganglion Cyst.
From www.youtube.com
mucous cyst ganglion of the finger YouTube Finger Joint Ganglion Cyst ganglion cysts of the hand and other joints are more likely to affect women than men, and more likely to appear in patients. Your health care provider might recommend watching. ganglion cysts that develop at the end joint on the nail side of a finger — also known as mucous cysts — are typically associated. ganglion cysts. Finger Joint Ganglion Cyst.
From www.healthline.com
Ganglion Cysts Symptoms, Causes, and Treatment Finger Joint Ganglion Cyst a ganglion cyst starts when the fluid leaks out of a joint or tendon tunnel and forms a swelling beneath the skin. ganglion cysts that develop at the end joint on the nail side of a finger — also known as mucous cysts — are typically associated. Inside the cyst is a thick, sticky,. a ganglion cyst. Finger Joint Ganglion Cyst.
From mavink.com
Ganglion Cyst Hand X Ray Finger Joint Ganglion Cyst Your health care provider might recommend watching. ganglion cysts of the hand and other joints are more likely to affect women than men, and more likely to appear in patients. a ganglion cyst is a small sac of fluid that forms over a joint or tendon (tissue that connects muscle to bone). ganglion cysts that develop at. Finger Joint Ganglion Cyst.
From www.medicalnewstoday.com
Finger pain Causes, treatment, and selfcare Finger Joint Ganglion Cyst Your health care provider might recommend watching. a ganglion cyst is a small sac of fluid that forms over a joint or tendon (tissue that connects muscle to bone). Inside the cyst is a thick, sticky,. a ganglion cyst starts when the fluid leaks out of a joint or tendon tunnel and forms a swelling beneath the skin.. Finger Joint Ganglion Cyst.
From www.idrinkyourwine.com
Ganglion Cyst Pictures Finger Joint Ganglion Cyst Inside the cyst is a thick, sticky,. ganglion cysts of the hand and other joints are more likely to affect women than men, and more likely to appear in patients. a ganglion cyst starts when the fluid leaks out of a joint or tendon tunnel and forms a swelling beneath the skin. Your health care provider might recommend. Finger Joint Ganglion Cyst.
From aberdeenvirtualhandclinic.co.uk
Ganglion Cysts Aberdeen Virtual Hand Clinic Finger Joint Ganglion Cyst a ganglion cyst starts when the fluid leaks out of a joint or tendon tunnel and forms a swelling beneath the skin. ganglion cysts are often painless and need no treatment. ganglion cysts that develop at the end joint on the nail side of a finger — also known as mucous cysts — are typically associated. . Finger Joint Ganglion Cyst.
From www.osmifw.com
Mucous Cyst of the Finger Diagnosis and Treatment Finger Joint Ganglion Cyst ganglion cysts of the hand and other joints are more likely to affect women than men, and more likely to appear in patients. a ganglion cyst is a small sac of fluid that forms over a joint or tendon (tissue that connects muscle to bone). a ganglion cyst starts when the fluid leaks out of a joint. Finger Joint Ganglion Cyst.
From www.alamy.com
Ganglion cyst hires stock photography and images Alamy Finger Joint Ganglion Cyst Inside the cyst is a thick, sticky,. a ganglion cyst is a small sac of fluid that forms over a joint or tendon (tissue that connects muscle to bone). ganglion cysts are often painless and need no treatment. ganglion cysts of the hand and other joints are more likely to affect women than men, and more likely. Finger Joint Ganglion Cyst.
From www.arlingtonortho.com
Ganglion Cysts of the Hand and Wrist Arlington Orthopedics Associates Finger Joint Ganglion Cyst ganglion cysts are often painless and need no treatment. ganglion cysts that develop at the end joint on the nail side of a finger — also known as mucous cysts — are typically associated. Your health care provider might recommend watching. Inside the cyst is a thick, sticky,. ganglion cysts of the hand and other joints are. Finger Joint Ganglion Cyst.
From www.medicalnewstoday.com
Ganglion cyst Symptoms, causes, and treatment Finger Joint Ganglion Cyst ganglion cysts that develop at the end joint on the nail side of a finger — also known as mucous cysts — are typically associated. a ganglion cyst starts when the fluid leaks out of a joint or tendon tunnel and forms a swelling beneath the skin. Inside the cyst is a thick, sticky,. ganglion cysts are. Finger Joint Ganglion Cyst.
From www.youtube.com
Ganglion Cyst Distal interphalangeal joint (Finger) YouTube Finger Joint Ganglion Cyst ganglion cysts that develop at the end joint on the nail side of a finger — also known as mucous cysts — are typically associated. ganglion cysts are often painless and need no treatment. a ganglion cyst starts when the fluid leaks out of a joint or tendon tunnel and forms a swelling beneath the skin. Your. Finger Joint Ganglion Cyst.
From www.orthobullets.com
Ganglion Cysts Hand Orthobullets Finger Joint Ganglion Cyst Your health care provider might recommend watching. a ganglion cyst starts when the fluid leaks out of a joint or tendon tunnel and forms a swelling beneath the skin. ganglion cysts of the hand and other joints are more likely to affect women than men, and more likely to appear in patients. a ganglion cyst is a. Finger Joint Ganglion Cyst.
From www.floridaortho.com
Ganglion Cyst Treatment Info Florida Orthopaedic Institute Finger Joint Ganglion Cyst ganglion cysts of the hand and other joints are more likely to affect women than men, and more likely to appear in patients. Inside the cyst is a thick, sticky,. Your health care provider might recommend watching. ganglion cysts that develop at the end joint on the nail side of a finger — also known as mucous cysts. Finger Joint Ganglion Cyst.
From www.alamy.com
Ganglion Cysts growing on a finger Stock Photo Alamy Finger Joint Ganglion Cyst a ganglion cyst is a small sac of fluid that forms over a joint or tendon (tissue that connects muscle to bone). Your health care provider might recommend watching. ganglion cysts of the hand and other joints are more likely to affect women than men, and more likely to appear in patients. a ganglion cyst starts when. Finger Joint Ganglion Cyst.
From www.schreibermd.com
Ganglion Cyst Raleigh Hand Surgery — Joseph J. Schreiber, MD Finger Joint Ganglion Cyst ganglion cysts that develop at the end joint on the nail side of a finger — also known as mucous cysts — are typically associated. Your health care provider might recommend watching. ganglion cysts of the hand and other joints are more likely to affect women than men, and more likely to appear in patients. Inside the cyst. Finger Joint Ganglion Cyst.
From www.johnericksonmd.com
Photos of Mucous Cysts in Fingers John Erickson, MD Finger Joint Ganglion Cyst Your health care provider might recommend watching. Inside the cyst is a thick, sticky,. ganglion cysts of the hand and other joints are more likely to affect women than men, and more likely to appear in patients. ganglion cysts that develop at the end joint on the nail side of a finger — also known as mucous cysts. Finger Joint Ganglion Cyst.
From www.schreibermd.com
Ganglion Cyst Raleigh Hand Surgery — Joseph J. Schreiber, MD Finger Joint Ganglion Cyst a ganglion cyst starts when the fluid leaks out of a joint or tendon tunnel and forms a swelling beneath the skin. Your health care provider might recommend watching. ganglion cysts that develop at the end joint on the nail side of a finger — also known as mucous cysts — are typically associated. a ganglion cyst. Finger Joint Ganglion Cyst.